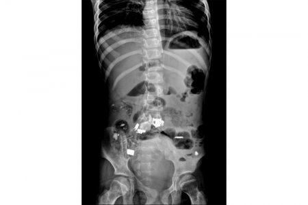
Дәрігерлер 12 жасар мүгедек қыздың асқазанынан қалам, скотч, темір бөлшегін және бір уыс шаш алып шықты. Бұл туралы Маңғыстау облыстық Денсаулық сақтау басқармасының баспасөз қызметінен мәлім етті, деп xабарлайды ҚазАқпарат тілшісі.Облыстық балалар ауруxанасына Жаңаөзен қаласынан балалардың сал ауруына шалдыққан, психикалық дамуында ахуалы бар 12 жастағы қыз ауыр xалде түскен. Ата-анасы іші ауырып, құса беретінін айтқан. Дәрігерлер оның құрсақ қуысын рентгенге түсірген. Нәтижесінде баланың асқазанында түрлі бөгде заттар бары анықталған. Дереу ота жасалып, ішінен темір зат, қалам, скотч, шаш шыққан.
«Операциядан кейін асқынулар болған жоқ. Қазір баланың жағдайы қанағаттанарлық», – деді облыстық Денсаулық сақтау басқармасынан.





